Skip to main content

Valued Subscriber, Device uses smartphone to monitor blood pressure

Inexpensive device uses smartphone to monitor blood pressure
 
View web version 5 October 2023 — Issue 20 | Vol 18
 
Medical Device Design - GlobalSpec
 

Source Products  |  Webinar Library  |  Standards

Inexpensive device uses smartphone to monitor blood pressure.

Inexpensive device uses smartphone to monitor blood pressure

Blood pressure is an important indicator of cardiovascular health and this has motivated University of California in San Diego researchers to develop a low-cost, simple clip that utilizes a smartphone's camera to measure and track blood pressure from the user's fingertip. Read more →

New white paper explores ways to build medical equipment reliability

Portage Electric Products, Inc.

New white paper explores ways to build medical equipment reliability

Malfunctioning thermal controls can have tragic consequences for medical equipment manufacturers. This new white paper from Portage Electric shows proven ways to ensure reliability of your thermal controls.
 

View more
How will the healthcare industry use ChatGPT?

How will the healthcare industry use ChatGPT?

Despite its imperfections, ChatGPT and its subsequent iterations are poised to alter how the healthcare industry operates; this article examines how. Read more →

Rutgers' team creates efficient spray technique for bioactive materials.

Rutgers' team creates efficient spray technique for bioactive materials

Potentially paving the way for transdermal medication delivery — for instance, in the form of shot-free vaccinations — the team has devised a new approach to electrospray deposition, which is an industrial spray-coating process. Read more →

Micro vs nano 3D printing.

Boston Micro Fabrication

Micro vs nano 3D printing

Terms like "nano" and "nanotechnology" are used broadly imprecisely. Objects at the nanoscale aren't just small. They're smaller than what some users really need. This white paper compares micro and nano 3D printing technologies.
 

View more
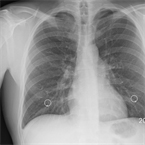
AI model estimates a subject’s true age according to their chest X-ray.

AI model estimates a subject's true age according to their chest X-ray

Establishing a link between age and chronic medical conditions, the AI model can reportedly calculate a person's age accurately according to the appearance of their chest X-rays. Read more →

Allrounder 520 A: Highly innovative IML application for medical technology.

Allrounder 520 A: Highly innovative IML application for medical technology

In-mold labeling (IML) for centrifuge tubes creates added value for pharmaceutical and clean room operations. Read more →

   

GlobalSpec publishes more than 60 free industry newsletters - browse our portfolio.

Want to reach industry executives with your message? Download our media kit or contact us directly at sales@globalspec.com.

About this email: You are receiving this message as part of your complimentary newsletter subscription to Medical Device Design. If you no longer wish to receive this newsletter, you can modify your preferences or unsubscribe.


Copyright © 2023 GlobalSpec LLC, Unless otherwise noted. All rights reserved.
GlobalSpec LLC | 257 Fuller Road Suite NFE 1100 | Albany, NY 12203-3621

Comments

Popular posts from this blog

Last chance to register: Advanced Sensor Technologies for Enhanced Robotics Functionality, Performance and Reliability

Join us tomorrow to discover how these innovations can drive advancements in your robotics solutions   View this email online Education for the Creators of Technology Advanced Sensor Technologies for Enhanced Robotics Functionality, Performance and Reliability Event Date: Thursday, May 9, 2024 ...

1250-Volt GaN Switcher ICs Extend GaN Application

Join us May 1st to explore benefits of WBG devices and how to achieve higher voltage GaN devices.   View this email online Education for the Creators of Technology 1250-Volt GaN Switcher ICs Extend GaN Application Event Date: Wednesday, May 1, 2024 Start Time: 9:00am PDT | 12:00pm EDT |...

3 tips for performing code reviews, Active objects in real-time, Embedded Tech Trends, more

Embedded system design highlights, resources and insights   View this newsletter online January 31, 2024 Advertisement Embedded Highlights 3 tips for performing code reviews Traditional code review methods are often painful at best and a waste of time at worst. That doesn’t have to be the case.  Read More ...